文 / 百世專業牙醫診所 陳谷銘院長
在診所的門診中,經常遇到由其他牙科同仁轉介而來的案例。對於需要全口重建的患者來說,總是希望能快速恢復咀嚼與外觀,同時又能將治療過程中的不適降到最低。在這樣的需求下,ALL on 4 ®等強調快速與一日有假牙的治療因應而生。
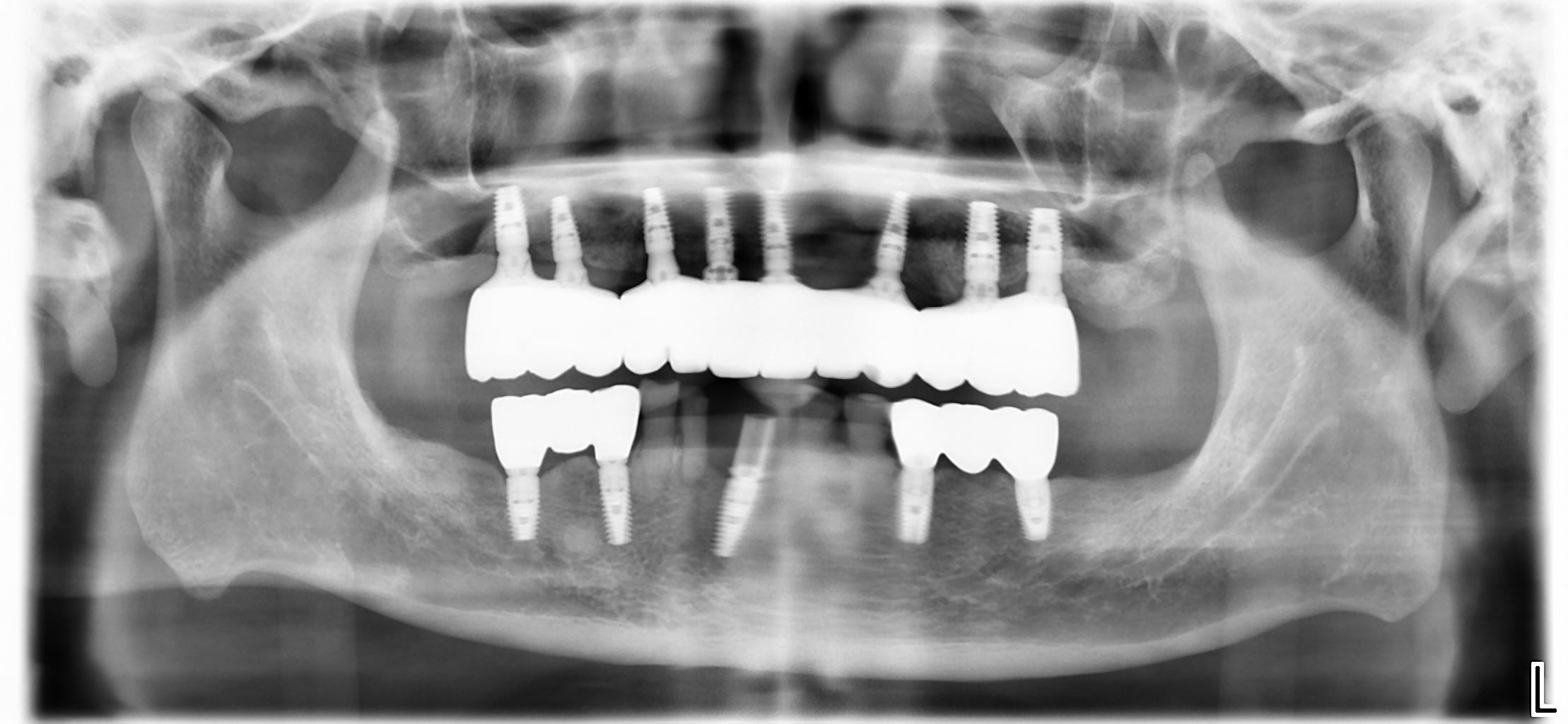
當初石先生來到百世專業牙醫評估時,我透過 3D 電腦斷層掃描 (CBCT) 進行檢查,發現他上顎後牙區的骨頭萎縮相當嚴重。在患者只考慮固定假牙的狀況下,我們有兩個治療選項:
- ALL on 4 ®全口重建: 植入四支植體,前牙區兩支為平行植體,後牙區兩支為傾斜植體,避開後牙需要補骨區域。
- 分階段的全口重建: 植入六支以上的植體,先完成前牙區的臨時假牙,接著在後牙區補骨,待骨頭生長完成後完成後牙區的植牙。

ALL on 4 ®缺點是甚麼?為何年輕患者建議採取「分階段處理」來完成全口重建?
- 為了假牙底部平整或美觀常需修磨過多齒槽骨。
- 整座以金屬支架相連的假牙,體積較大,清潔花心力。
- 傾斜植體的手術難度高,假牙設計受限制。
- 四支植體長期結果難預測: 若只植四支植體,其中一支未來失敗,假牙需整副重作及重新手術新增植體。
面對石先生後牙區骨頭高度嚴重不足的情況,如果選擇一次ALL on 4 ®的治療,必須以支架將所有的植體連在一起,假牙的清潔比較花費心力。在後牙區無牙的狀況下,單靠四支植體要支撐咬合力超過40年的使用時間,不確定性高。
為了確保整體的長期穩定性,我與醫療團隊決定為他規劃「分階段」的治療方案。
全口重建「分階段處理」有甚麼優點?
對於相對年輕的患者,能在後牙區補骨後兩側再各植入一支植體,使整個牙弓有六支以上的植體

- 能提供後牙穩定的支撐
- 假牙未來做成分段式的牙橋,對於清潔有比較大的幫助
- 整個牙弓有六支以上的植體,未來若單支植體喪失,能修改假牙設計,避免再次手術

植牙手術期間沒牙齒怎麼吃飯?數位導航加上臨時假牙緩解患者焦慮
許多患者對於全口重建最深的焦慮通常是:「手術後,我是不是會有很長一段時間沒牙齒、不能吃飯?」
在石先生的第一步治療中,我們先在骨頭條件較好的前牙區進行重建。為了實現當日恢復功能的目標,我運用了以下數位設備:
- 數位口內掃描:取代傳統印模,精準獲取患者口內的 3D 數據,大幅提升假牙的密合度。
- 藍光動態導航系統 (X-Guide):植牙導航讓我能在手術中避開神經血管,確保前牙植體定位精確。
這份技術讓石先生在手術當天就完成了臨時假牙的製作,不僅立即恢復基本咀嚼功能,更讓他能維持社交美觀與自信,這對患者而言是心理壓力極大的釋放。
分階段進行全口重建會讓治療過程變漫長?如何平衡手術負擔與重建效率?
與常見的「All-on-X 數位一日全口重建」相比,針對石先生這種特殊骨萎縮案例,我認為重建的效率不應僅建立在速度上,更應建立在身體的負荷程度上。因此「分階段」反而是更專業、更負責任的作法:
- 手術負擔輕:分次處理縮短了單次手術的時間,將患者的體力消耗降到最低。
- 預期性更高:先穩固前牙功能後,再逐步完成後牙重建。石先生在農曆年前順利完成了所有治療,回診時他與我分享能再次安心進食的樂趣,這份穩定感是急促手術難以取代的。
全口重建的成功,在於讓患者重拾自在的生活品質
身為醫師,我始終認為全口重建的價值,並非僅是影像檢查上的植體位置有多漂亮,或是數位設備有多高端。
真正的成功,是看見患者能重新獲得進食的便利,並重拾正常社交的生活品質。如果您也正面臨全口缺牙或骨頭條件不足的困擾,歡迎來到百世,讓我為您進行評估,共同規劃一份兼顧安全性與預期效果的專業計畫。




